Best Bite Dental8090 Blue Diamond Rdste 120Las Vegas, NV 89113ph: 702-897-2483bestbitedentallv@yahoo.com
Below cases are actual patients of Dr. Tim Nguyen.
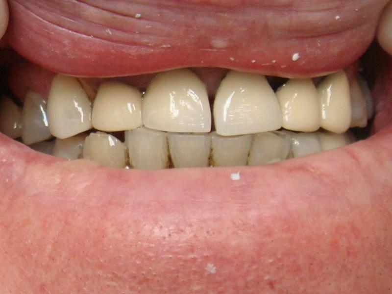
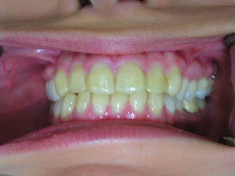
Before with spaces and uneven smile. After with pleasant smile.
Implants placed in between teeth to help make the partial more stable and esthetic.
Before with composite veneer